Ceramic Layering: Protocols of the World’s Leading Schools
Ceramic Layering: Protocols of the World’s Leading Schools
Description
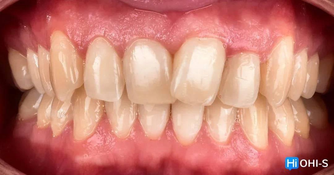
You will learn how to layer ceramics according to the protocols of the world's leading schools in a convenient video demonstration format: watch and repeat after the master!
Lecturers will not only tell, but also demonstrate in practice:
- The use of additive layering technique
- The minimal thin layer technique with multilayer zirconia
- Internal stain technique.
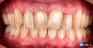
During the training, you will learn:
- The technique of using contrasting ceramic mixes
- Methods of forming the morphology and surface texture
- Finishing with hand polishing.
Ceramic Layering: Protocols of the World's Leading Schools course
Presenters: Oliver Brix, Taylan Sari, Chien-Ming Kang
9 Videos - Duration: 6 hours & 30 min - Files size: 8.7 GB














