Ceramic Restorations: Veneers, Inlays, Crowns
Ceramic Restorations: Veneers, Inlays, Crowns
Description
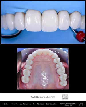
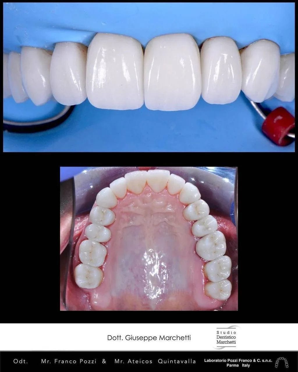
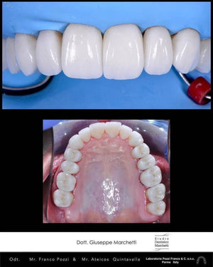
OHI-S Ceramic Restorations Veneers, Inlays, Crowns
By: Fabio Scutella, Roberto Sorrentino, Giuseppe Marchetti, Eric Van Der Winden
Video List:
_____________________________________________________________________
1- Ceramic posterior restorations- Inlays, onlays, overlays, crowns
2- Ceramic anterior restorations- Veneers and Crowns
3- Combination of CADCAM and layering
4- Dental ceramics- properties and clinical indications
5- Vertical preparation for all-ceramic restorations
By: Fabio Scutella, Roberto Sorrentino, Giuseppe Marchetti, Eric Van Der Winden
5 lessons (2.7 GB) (6H:10M)









